X-rays included! Discussions

Discussion in 'General Dog Chat' started by Massaro11, Feb 26, 2016.

  1. Massaro11

    Massaro11 New Member

    Likes Received:
    7
    Gender:
    Male
    Name:
    Mike

    X-rays included!

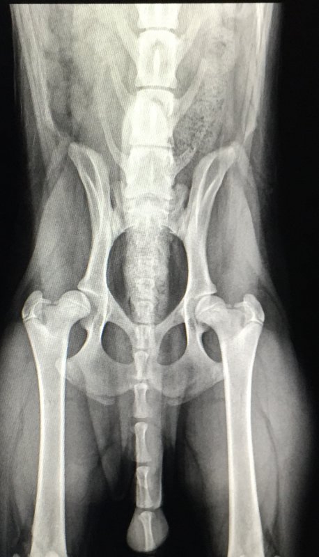
    6 month Samoyed male X rays came back showing that right hip joint is "subluxated". *look at the space between the ball in the one hip* (left on your screen)
    The vet said its in the first stage then said or it could stay how it is. He did say it's not dysplasia.. Not yet, maybe, maybe not. No real answers! There's always miracles, they happen. Maybe it will grow normally being that he is only 6 months. I found articles finding that many x rays are faulty due to poor positioning. Any feedback would be appreciated!
    Thank you

    Attached Files:

  2. Registered users won't see this advert. Sign up for free!

  3. CaroleC

    CaroleC Member

    Likes Received:
    5,751
    Gender:
    Female
    Name:
    Carole
    LMost likes this.
    Have you tried Googling your national Samoyed Breed Club? There appears to be other first hand experiences of juvenile HD on,
    www.samoyedhealthfoundation.org
    I am not an expert but that looks to be a very clear x ray.
    Best wishes for his future.
  4. Malka

    Malka Member

    Likes Received:
    7,999
    Gender:
    Female
    Name:
    Juli
    LMost and Azz like this.
    The X-ray is clear but the right femur was not positioned correctly. It was turned out a fraction therefore it is not really possible to see how far out the femur head is from the acetabulum [socket], although the socket does appear to be slightly shallow.

    If that were a child [and believe me, with four years of major hip surgery on my daughter from when she was just a year old and X-rays from the start until she was 17 years-old, I have seen more than enough hip X-rays to last me a lifetime] - that right hip, if it is slightly out of the socket, would be left until the child was able to walk - because then the pressure on the head of the femur would push into the socket, which would then grow properly to hold it in.

    But even though the X-ray of your dog looks clear, I am not 100% sure of the angle. Was the dog seen by a canine orthopaedist who took the X-ray? And did the radiologist just take the one X-ray?

    A human baby's bones do not calcify until they are six months old, therefore now they would do scans and ultrasounds before that age. But then a human baby would not be walking at six months so there is that difference.

    I am sorry I cannot really be of much help to you. I just know that if that were my dog I would not just accept one X-ray.

    Best wishes for your dog.
  5. LMost

    LMost Member

    Likes Received:
    597
    Gender:
    Male
    Name:
    LMost
    I'd agree with both the about statements.
    As Malka stated the angle might make it look worse than it is and most likely does.

    As CaroleC states it clearly does look like there is juvenile hd or the start of.

    I would seek out a specialist in this area to get the degree of the issue and the proper actions,
  6. Malka

    Malka Member

    Likes Received:
    7,999
    Gender:
    Female
    Name:
    Juli
    Looking at that X-ray again, I see more faults - which might or might not be the X-ray itself, due to incorrect positioning of the dog.

    1 - The large spinal vertibrae above the pelvic bone are not in a straight line, therefore the dog was not held in the correct position.

    2 - The right femur [on the left as it is shown] appears slightly thinner than the other one, again it could be because of an incorrect angle.

    3 - Look at the tips of the base of the pelvic bone - the one on the right [again on the left as it is shown] shows through the femur, as if the femur is not yet calcified, ie is not solid.

    So - either there is something wrong with the X-ray - and I have enlarged it and keep going back to look at it again, or there is something wrong with the femur itself. I am extremely surprised that the vet did not notice these things because the more I look at that X-ray the more obvious they are.

    As I said, if that were my dog I would not just accept one X-ray, and I definitely would not accept that one, OR the fact that the vet did not notice them.
  7. GsdSlave

    GsdSlave Member

    Likes Received:
    2,715
    Gender:
    Female
    Name:
    Vee
    The Importance of Good Positioning on Canine Hip X-rays
    http://leerburg.com/hipart.htm

    What method was used to xray him. Some vets are good at evaluating and taking hip xrays, some are lousy.
  8. Massaro11

    Massaro11 New Member

    Likes Received:
    7
    Gender:
    Male
    Name:
    Mike
    Thank you all for the feedback. Malka I did not see any specialist. They did tell me an x Ray was taken from the side, but they said it didn't show much so I didn't look at it. The vet took me to his computer with the x Ray. He then allowed me to take a few pictures of it with my phone. You all are the only ones who have given me hope. If the positioning isn't correct than my boy might have a chance! Thank you for pointing out these faults. I am not knowledgable in the area, so I'm unsure what to look for. How can you tell the right femur was turned out a fraction? Bc the spinal vertebrae isn't in a straight line?
  9. Malka

    Malka Member

    Likes Received:
    7,999
    Gender:
    Female
    Name:
    Juli
    @Massaro11 - Mike, Vee [GsdSlave] has posted a perfect link showing the good and the bad in canine X-rays. I posted my personal experience with hip X-rays, although I looked at that X-ray through the eyes of someone with human hip experience, not canine experience.

    But they are basically the same structure.

    How could I tell the right femur was turned out a fraction? Because to me it was obvious. I have seen too many human X-rays not to know whether something is straight, positioned correctly, or not.

    A regular vet is not the person to take X-rays and give any sort of diagnosis when they do not have the knowledge how to do so properly and how to read the X-ray. In addition you said

    What sort of vet takes hip X-rays from the side? One who does not know what he is doing.

    Mike, if you have the slightest concern about your boy's hips, please take him to a canine orthopaedist and get properly positioned X-rays taken.

Share This Page